Amazing Smile Transformations









Dr. Thomas Pham takes great pride in combining dental science with artistic vision to create smiles that are not only functional but also naturally beautiful. Whether you are looking to brighten your smile, fix a chipped tooth, or undergo a complete smile makeover, our Arlington dental team is here to help you achieve your goals.
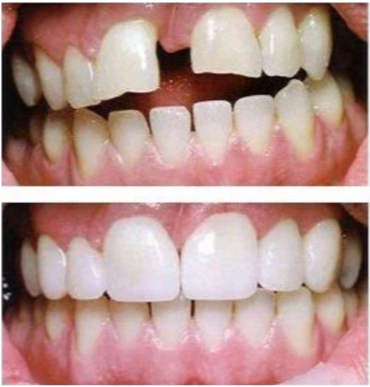
Browse our gallery below to see real examples of the work we have performed for our patients in Arlington and the surrounding Snoqualmie Valley communities.
Browse our gallery below to see real examples of the work we have performed for our patients in Arlington and the surrounding Snoqualmie Valley communities.
- Porcelain Veneers: Witness the incredible transformation of smiles with issues like discoloration, chips, gaps, or misalignments.
- Teeth Whitening: See how professional whitening can brighten smiles by several shades, revealing a more vibrant appearance.
- Dental Implants: Observe how missing teeth are seamlessly replaced, restoring both function and aesthetics for a complete smile.
- Dental Crowns & Bridges: View the restoration of damaged or missing teeth, bringing back strength, shape, and a natural look.
- General Restorations: Examples of how routine procedures can dramatically improve a smile's health and beauty.

